CHƯƠNG TRÌNH NGHIÊN CỨU

Chương trình nghiên cứu

Project logo
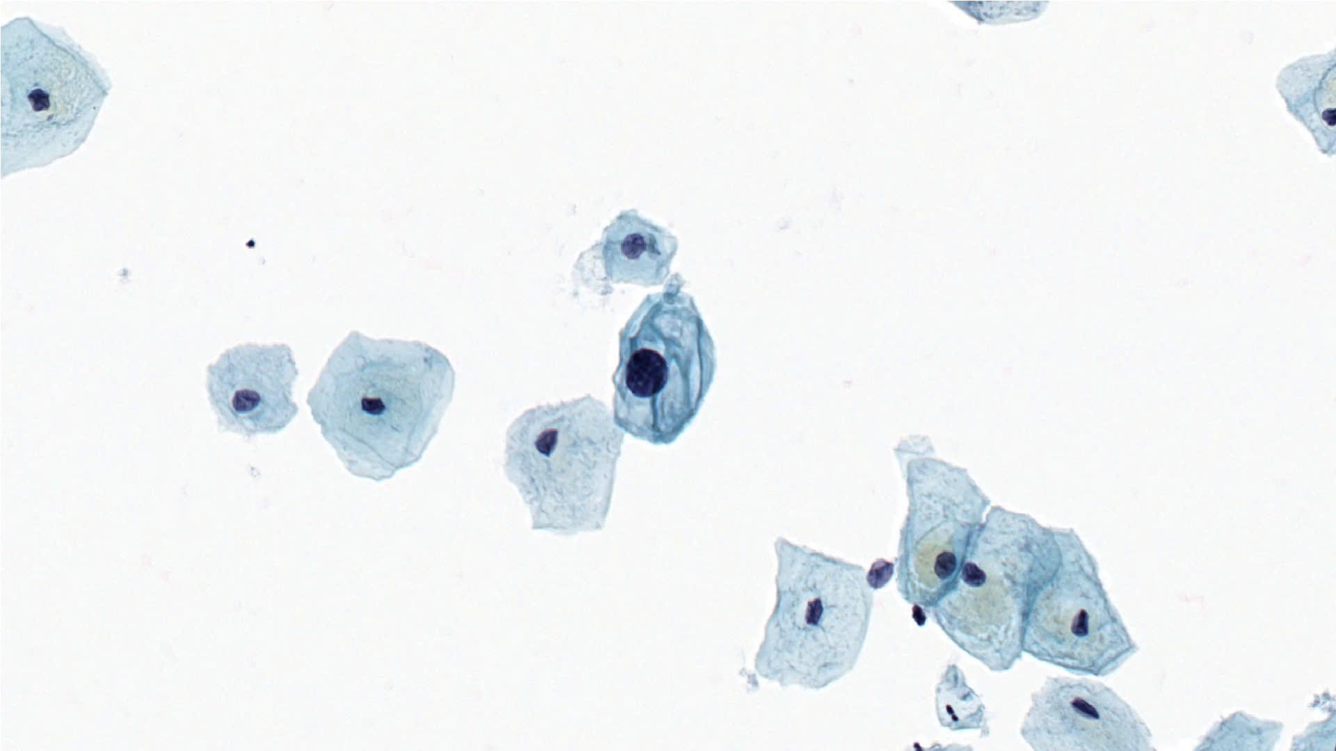
Nghiên cứu ứng dụng trí tuệ nhân tạo trong chuẩn đoán và sàng lọc ung thư cổ tử cung dựa trên hình ảnh WSI sau giải phẫu bệnh học
(2024)

Dự án ứng dụng TTNT để phân tích hình ảnh toàn bộ tiêu bản mô học của cổ tử cung sau giải phẫu bệnh. Từ đó phát triển một mô hình AI có khả năng nhận diện và phân loại các tế bào bất thường

Project logo
Nghiên cứu ứng dụng trí tuệ nhân tạo trong hỗ trợ soạn thảo và kiểm tra văn bản hành chính, văn bản quy phạm pháp luật
(2024)

Dự án này tập trung vào việc ứng dụng trí tuệ nhân tạo để hỗ trợ soạn thảo và kiểm tra các văn bản hành chính và văn bản quy phạm pháp luật. Bằng cách phát triển một hệ thống AI thông minh,...

Project logo
Nghiên cứu ứng dụng trí tuệ nhân tạo (AI) hỗ trợ học sinh phổ thông học và kiểm tra tiếng Anh theo Chương trình Giáo dục Phổ thông 2018
(2024)

Dự án này tập trung vào việc ứng dụng trí tuệ nhân tạo để hỗ trợ học sinh phổ thông trong việc học và kiểm tra môn tiếng Anh theo Chương trình Giáo dục Phổ thông 2018.....

Project logo
Nghiên cứu ứng dụng công nghệ Blockchain trong truy xuất nguồn gốc chè Tân Cương - Thái Nguyên
(2024)

Dự án triển khai hệ thống truy xuất nguồn gốc cho chè Tân Cương bằng công nghệ Blockchain, đảm bảo tính minh bạch và tin cậy của thông tin sản phẩm.

Project logo
Nghiên cứu ứng dụng công nghệ IoT trong giám sát vùng trồng
(2024)

Dự án triển khai công nghệ IoT để giám sát và quản lý vùng trồng, thu thập dữ liệu môi trường nhằm tối ưu hóa quá trình canh tác, tăng năng suất và chất lượng cây trồng, đồng thời tiết kiệm tài nguyên và phòng ngừa dịch bệnh hiệu quả.